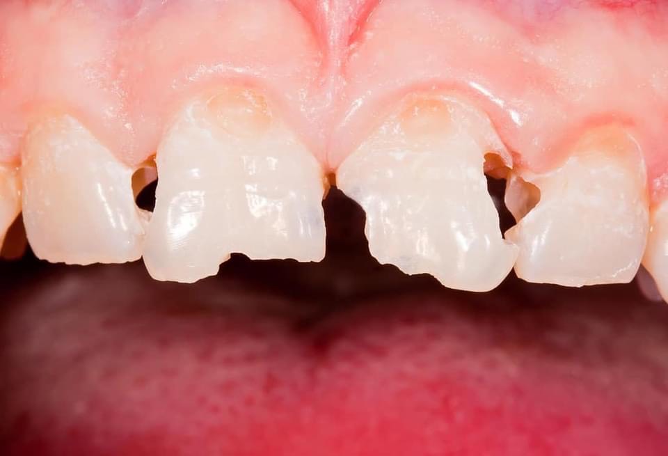
Dlaczego zęby się kruszą?

  1. Brak witamin, minerałów w organizmie, na skutek niezbilansowanego odżywiania lub cech strefy ekologicznej. 
  2. Naruszenie zasad higieny jamy ustnej - nieregularne lub nieskuteczne szczotkowanie zębów. Jednocześnie cząsteczki pokarmu pozostają między zębami, stwarzając sprzyjające warunki do rozmnażania się bakterii i rozwoju próchnicy – ​​głównej przyczyny próchnicy.
  3. Zaburzenie zgryzu, które prowadzi do nieprawidłowego zamykania się zębów, nierównomiernego rozkładu obciążenia żucia, ciągłych urazów, niszczenia szkliwa niektórych zębów, przez co zaczynają się kruszyć, pojawiają się odpryski.

Chcesz temu zaradzić? Odwiedź Stomatologię Słubice przy ul. Piskiej 13. Czynne od poniedziałku do piątku w godz. 8:00-20:00.

Kontakt: Ten adres pocztowy jest chroniony przed spamowaniem. Aby go zobaczyć, konieczne jest włączenie w przeglądarce obsługi JavaScript. / www.stomatologia-slubice.pl / +48 95 718 30 00.

[reklama]